近日,泰安市中医医院肺病一科成功开展院内首例经支气管镜肿瘤切除术,填补了医院该项技术空白,标志着医院呼吸介入诊治能力将达到省内先进水平,可以为大气道肿瘤患者提供更精准的微创治疗。

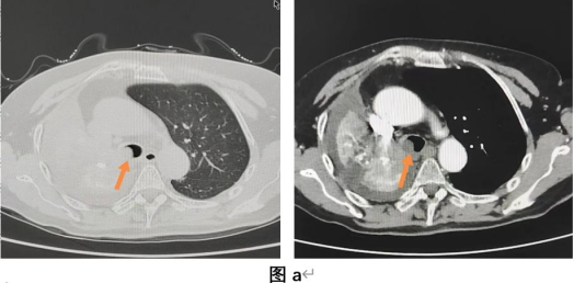
该患者为60岁男性,因咳嗽、胸闷3月,加重伴喘憋5天入院,既往诊断为肺恶性肿瘤(T2N1M1b,IVA期),入院后查胸部加强CT提示右肺占位、右主支气管阻塞(见图a),肺病一科在李平院长、闫平主任指导下通过集体讨论,考虑患者单肺呼吸、治疗风险高、麻醉风险较大,且右主支气管阻塞导致呼吸困难,常规治疗效果差,决定为患者在手术室全麻下行经支气管镜肿瘤切除术。术前主治医师严格进行术前评估,设计好各种应急预案,术中由张庆翔医师、张凯凯医师操作,李贵萍护士、杨敏护士协助,运用电圈套、氩气刀(APC)和冷冻技术,顺利完成经支气管镜肿瘤切除术,术后患者咳嗽、喘憋等症状明显缓解,无明显并发症及不良反应发生。

中央型气道肿瘤是指发生于气管、左右主支气管及右中间段支气管的肿瘤,其引起的气道狭窄可导致患者在临床上出现不同程度的呼吸困难甚至窒息死亡。过去主要是外科手术治疗,但外科手术创伤大、风险高、容易复发,有相当多的患者并不适合外科治疗且术后并发症亦不少见。当前经支气管镜介入治疗已逐渐成为处理中央气道肿瘤的主要手段。因其操作简单,更加安全、有效,创伤小、风险低,不易复发的优点,肺病一科运用高频电、氩气刀(APC)和冷冻技术成功为患者切除了支气管肿瘤(见图b)。术后患者右主支气管打通,右中下叶显露,患者喘憋症状明显缓解(见图c)。

此次手术的成功开展,得益于肺病一科呼吸内镜诊疗技术的成熟以及多学科团队之间的默契配合,特别是麻醉科的鼎力相助,为整个手术保驾护航。随着该项技术的广泛开展,将为大气道疾病患者治疗开辟新途径,更为本市及周边地区相关疾病患者带来福音。